В больницу обратились родители мальчика, которые сообщили, что у их сына болит в груди и он не может глубоко вдохнуть.
В министерстве рассказали, что мальчик поступил в больницу в стабильном состоянии. Однако ребёнку было больно, вдохнуть глубоко он не мог из-за острого предмета внутри.
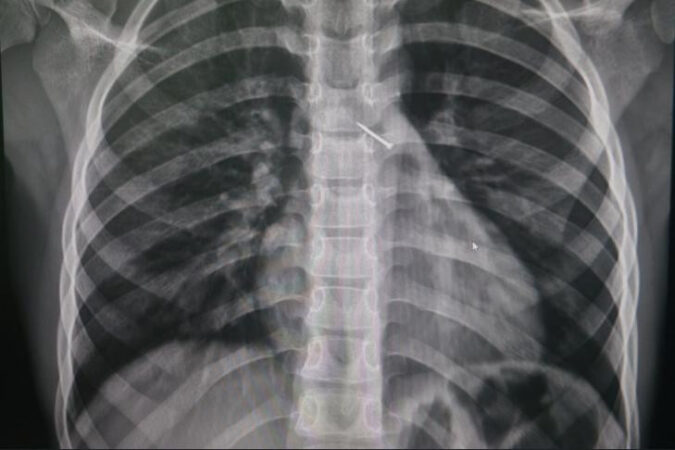
— Обследование показало, что канцелярская кнопка попала в бронхи, уперлась в одну из стенок и вызывала локальное воспаление. Опасный предмет успешно достали с помощью эндоскопических зажимов, — говорится в сообщении министерства здравоохранения Новосибирской области.
Несколько дней юный новосибирец находился под динамическим наблюдением. Мальчику понадобилась ингаляционная терапия. Ребенка выписали спустя четыре дня полностью здоровым.
Ранее «Прецедент» сообщал, что в Новосибирске в 2023 году достроят три поликлиники по ГЧП. Редакция также писала о том, как в Новосибирске женщина родила ребенка на плановом приеме у гинеколога. Читайте также материал о том, что в Новосибирске спасли 46-летнего пациента с гигантским тромбом в сердце.
Оксана ФЕДОРОВА

Comment section